Users Pricing

news

Important Post-COVID Brain Abnormalities Discovered by Special MRI

Important Post-COVID Brain Abnormalities Discovered by Special MRI

Muskan Singh 806 22 Nov 2022
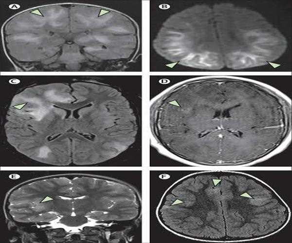
  • MRI results showed that patients who recovered from COVID-19 had significantly higher susceptibility.
  • This was in regards to values in the frontal lobe and brain stem compared to healthy controls.
  • The clusters obtained in the frontal lobe primarily show differences in the white matter.

Researchers from the Indian Institute of Technology (IIT) Delhi have discovered brain abnormalities in patients up to six months after they recovered from COVID-19 using a specialised sort of MRI.

According to studies, COVID-19 causes roughly one in five persons to later experience long-term consequences. Cognitive and attentional difficulties, headaches, sleep issues, lightheadedness, pins and needles sensations, changes in taste or smell, and depressive or anxious symptoms are some of the neurological signs of extended COVID.

The heart, lungs, or other organs may change as a result of COVID-19, according to research, even in asymptomatic patients. The most recent study examined the effects of COVID-19 on the brain using susceptibility-weighted imaging, which is being presented at the annual meeting of the Radiological Society of North America (RSNA).

The level to which certain substances, such blood, iron, and calcium, will get magnetised when a magnetic field is applied is known as their magnetic susceptibility. Microbleeds, vascular malformations, brain tumours, and stroke are just a few of the neurologic disorders that this skill helps in the discovery and monitoring of.

Despite numerous case reports indicating such abnormalities, group-level investigations on COVID-19 changes in the brain's magnetic susceptibility have not yet been conducted, according to research co-author Sapna S. Mishra, a Ph.D. candidate at IIT Delhi.

Mishra said in a release that 'our work exposes this novel element of the neurological impacts of COVID-19 and shows severe abnormalities in COVID survivors.' 46 COVID-recovered patients and 30 healthy controls' susceptibility-weighted imaging data were analysed by the researchers. Within six months of my recovery, imaging was done.

The study discovered that weariness, difficulty sleeping, a lack of attention, and memory problems were the most often reported symptoms among people with extended COVID. Alterations in the susceptibility levels of different brain regions may be a sign of local compositional changes, according to Mishra.

While lower susceptibilities may be brought on by anomalies such calcification or a lack of iron-containing paramagnetic molecules, higher susceptibilities may indicate the presence of abnormal numbers of paramagnetic compounds.


Muskan Singh

Student

I am currently pursuing my bachelor's in mechanical engineering. I love to write as it helps me to communicate and exchange my ideas with other in the form of subtle words.